18/11/2015
HPV virus
HPV virus là căn bệnh không nhất thiết cần bạn quan hệ tình dụcthâm sâu mà chỉ cần tiếp xúc qua da là đã đủ lây lan, nó là triệu chứng gây ra mụn cóc ở các cơ quan sinh dục. Cũng có chủng HPV gây ra mụn cóc vô hại nhưng cũng có chủng có thể dẫn đến ung thư cổ tử cung hoặc hậu môn. Cách tốt nhất ngoài quan hệ tình dục an toàn, vệ sinh sạch sẽ là bạn cần tiêm vắc-xin phòng ngừa.
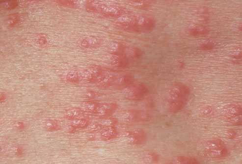
Dấu hiệu nhận biết bệnh này: mụn cóc có màu hồng sùi lên hoặc phẳng dưới da hoặc hình dạng giống súp lơ. Và thường không gây ra triệu chứng gì ban đầu.
Rận mu
Đây là một loại rận bám ở lông mu. Chúng có thể có hình dạng khác nhau. Và nó có thể bò từ người này sang người khác qua tiếp xúc gần. Với loại rận mu có thể dùng một số loại kem để diệt trừ.
Triệu chứng: ngứa dữ dội, có thể phát hiện trứng nhỏ xíu gắn vào lông mu hoặc rận đang bò.
Bệnh ghẻ
Bệnh ghẻ là một loại kí sinh trùng sống dưới da và đẻ trứng. Nó không hoàn toàn chỉ là bệnh lây nhiễm tình dục vì nó chỉ cần tiếp xúc da với da cũng có thể lây. Nhưng ở tuổi trưởng thành, các con ghẻ thường di chuyển và lây lan trong thời gian quan hệ tình dục. Bệnh ghẻ được điều trị bằng các loại kem kê theo toa.
Triệu chứng: Ngứa dữ dội, đặc biệt vào ban đêm và phát mụn. Có thể mất 2-6 tuần để các triệu chứng xuất hiện đồng thời.
Bệnh lậu
Rất dễ dàng để lây phải bệnh lậu và đây là căn bệnh gây vô sinh ở cả nam giới và nữ giới nếu không được điều trị. Thuốc kháng sinh chắc chắn được sử dụng để ngăn ngừa sự nhiễm trùng.
Triệu chứng: Không có các triệu chứng sớm của căn bệnh này, khi phát bệnh người mắc bệnh cảm giác bị nóng rát khi đi tiểu, xuất dịch trắng. Sau đó nhiễm trùng có thể gây ra phát ban trên da hoặc lây lan đến các khớp xương và máu.
Bệnh giang mai
Hầu hết mọi người không nhận ra các triệu chứng sớm của bệnh giang mai. Nếu không điều trị kịp thời nó có thể dẫn đến tê liệt, mù mắt và tử vong. Bệnh giang mai có thể được chữa khỏi bằng kháng sinh.
Các dấu hiệu và triệu chứng: Dấu hiệu đầu tiên xuất hiện thường là các nốt đau tròn trên bộ phận sinh dục hoặc hậu môn. Bệnh lây lan qua tiếp xúc trực tiếp với các nốt đau này. Sau đó phát ban ở lòng bàn tay hoặc trên các bộ phận khác của cơ thể, kèm theo sưng hạch, sốt, rụng tóc hoặc mệt mỏi. Trong giai đoạn cuối, các triệu chứng gây tổn thương đến các cơ quan như tim, não, gan, thần kinh và mắt.
Virus Chlamydia
Chlamydia là một loại virus lây nhiệm qua đường tình dục phổ biến và có thể gây vô sinh nếu không được chữa trị. Và kháng sinh sẽ loại bỏ nó nhanh chóng. Nhưng nó thường không phát hiện được ra do không có triệu chứng gì hoặc không rõ rệt. Chlamydia có thể lây bệnh lên trực tràng và cuống họng.
Các triệu chứng ở nam giới: rát và ngứa đầu dương vật, ra dịch trắng, đi tiểu đau
Các triệu chứng ở nữ giới: ngứa âm đạo, ra nhiều dịch trắng mà có thể có mùi hôi, đau khi quan hệ và đi tiểu.
Virus Herpes đơn dạng loại 1
Đó là vết loét lạnh trên môi bạn. Bệnh được gây ra bởi một loại virus có tên Herpes. Loại virus này có thể lây lan giữa các thành viên trong gia đình hoặc qua việc hôn nhau. Nhưng đặc biệt nó có thể lây lan sang các bộ phận sinh dục thông qua việc tiếp xúc bằng miệng hoặc bộ phận sinh dục của người bị bệnh. Mặc dù không có biện pháp chữa trị nhưng thuốc có thể rút ngắn thời gian mắc bệnh.
Các dấu hiệu và triệu chứng: Xuất hiện các vết loét lạnh lốm đốm trên môi. Hay các vết loét trên các bộ phận sinh dục.
Virus Herpes đơn dạng loại 2
Hầu hết các trường hợp mắc bệnh herpes sinh dục đều do một loại virus được gọi là HSV-2. Nó rất dễ lây và có thể lây qua quan hệ hoặc tiếp xúc trực tiếp với một nốt đau của bệnh. Như HSV-1, HSV-2 cũng không có thuốc chữa. Nhưng nó ít gặp hơn, hoặc gặp có thể nhanh chóng bùng phát.
Triệu chứng: mụn nước chứa chất lỏng bên trong gây đau, vết loét đóng vảy trên bộ phận sinh dục, hậu môn, đùi hoặc mông. Có thể lây lan lên môi thông qua đường tiếp xúc bằng miệng.
Viêm gan B
Viêm gan B là một loại virus tàng hình có thể gây tổn thương gan nghiêm trọng. Nó lây lan qua việc tiếp xúc với máu và chất dịch cơ thể người bệnh. Và có thể lây nhiễm qua đường tình dục, dùng chung kim tiêm và truyền từ mẹ sang con cũng như qua việc dùng chung bàn chải đánh răng, dao cạo. Không có cách chữa nhưng các loại thuốc có thể kiểm soát virus không gây ra bệnh. Ngoài ra, vác-xin phòng bệnh luôn hiệu quả với viêm gan B.
Triệu chứng: buồn nôn, đau bụng, nước tiểu đậm màu, mệt mỏi và vàng da hoặc mắt bị nhiễm trùng cấp tính. Nhiễm mãn tính có thể dẫn đến xơ gan hoặc ung thư gan. Hoặc nhiều người không có triệu chứng trong nhiều năm bị bệnh.
HIV/AIDS
Virus HIV là suy giảm miễn dịch trong cơ thể người để kháng lại nhiễm trùng. HIV lây lan qua đường tình dục không an toàn, dùng chung kim tiêm hoặc mẹ sang con. Nó có thể không có triệu chứng trong nhiều năm, do đó một xét nghiệm máu là cách tốt nhất để tìm hiểu tình trạng của bạn. Điều trị kịp thời là rất quan trọng để ngăn ngừa bệnh tật nghiêm trọng.
Các triệu chứng sớm của HIV: phần lớn không có triệu chứng gì, nhưng một số người có triệu chứng tạm thời giống như cúm kéo dài 1-2 tháng. Sau đó nhiễm trùng, sưng hạch, sốt, đau đầu và mệt mỏi. Và cũng có thể gây lở loét trong miệng quá phát.
K. Trâm (Theo Webmd)Theo:suckhoedoisong.vn
Administrator
5 SAI LẦM THƯỜNG GẶP KHI BỔ SUNG CANXI
Canxi là khoáng chất thiết yếu, chiếm khoảng 1,5–2% trọng lượng cơ thể, trong đó 99% tồn tại ở xương và răng. Thiếu canxi lâu dài có thể gây loãng xương, còi xương, tăng nguy cơ gãy xương. Tuy nhiên, việc bổ sung canxi không đúng cách có thể làm giảm hiệu quả hoặc gây hại cho sức khỏe....
Xem thêm
NGÀY TIM MẠCH THẾ GIỚI 29/09/2025 – ĐỪNG ĐỂ TRÁI TIM BỎ LỠ MỘT NHỊP
Ngày 29/9 hàng năm được Liên đoàn Tim mạch Thế giới chọn là Ngày Tim mạch Thế giới – một dịp để tất cả chúng ta cùng nhìn lại, quan tâm hơn đến trái tim của mình và những người thân yêu....
BỆNH CHIKUNGUNYA – NHỮNG ĐIỀU CẦN BIẾT
Chikungunya là một bệnh truyền nhiễm do virus Chikungunya gây ra, lây truyền chủ yếu qua vết đốt của muỗi vằn mang mầm bệnh – cũng là tác nhân lây truyền sốt xuất huyết và Zika. Tên gọi “Chikungunya” bắt nguồn từ ngôn ngữ Kimakonde (châu Phi), nghĩa là “người bị cong lại”, mô tả tình trạng đau kh...
ĐỒNG LÒNG HƯỚNG VỀ MIỀN BẮC THÂN YÊU
Tập thể TV.PHARM cùng các công ty thành viên Tập đoàn AIKYA như Dược Sóc Trăng (S.Pharm), Dược phẩm Sinh học Y tế (Mebiphar) và Alpha Lab, với tinh thần chung một tấm lòng, đã chung tay tham gia chiến dịch gây quỹ “Sát cánh cùng miền Bắc”....